Invisalign

Clear Aligners Customized for Your Lifestyle

woman with invisalign at orthodontist

Invisalign offers a clear, removable way to straighten your teeth with minimal disruption to your daily life. At Nexus Orthodontics, Dr. Shauna Fung provides expert-guided Invisalign treatment for teens and adults—so you get results you can feel confident about.

Here at Nexus, we love options, and we know you do too. We are committed to giving you the resources and the support that you need to make the choice that is right for you. If you are looking for an alternative for traditional metal or clear braces, aligners like Invisalign may be the option for you. 

invisalign and case

What is Invisalign?

Invisalign are clear, thin trays that feel like flexible plastic and they fit over your teeth. Invisalign uses a series of custom-made, clear aligners that gradually move your teeth into place. Each set is worn for about one to two weeks before progressing to the next.

The aligners are:

  • Nearly invisible

  • Removable for eating and brushing

  • Custom-designed using advanced digital technology

Is Invisalign Right for You?

Invisalign is a great option for many patients—but success depends on consistency.

You may be a good candidate if you:

  • Want a discreet orthodontic option

  • Prefer removable trays

  • Are comfortable wearing aligners 20–22 hours per day

  • Want fewer in-office emergencies compared to braces

If compliance may be an issue, Dr. Fung will discuss whether braces might be a better fit.

SCHEDULE A FREE CONSULTATION

What Invisalign Can Treat

Invisalign can address many common orthodontic concerns, including:

  • Crowded teeth

  • Spacing issues

  • Mild to moderate bite problems

  • Relapse after previous orthodontic treatment

Your consultation will determine if Invisalign is appropriate for your specific needs.

The Invisalign Process

As an experienced Invisalign orthodontist in New Hyde Park, Dr. Fung follows a personalized, step-by-step approach:

  1. First Orthodontist Appointment – Consultation and goals discussion

  2. Digital Scan – No messy impressions

  3. Custom Invisalign Plan – Designed for your smile

  4. Aligner Delivery – Start treatment

  5. Progress Check Visits – Fewer emergencies than braces

  6. Retention – Maintain your results long-term

Cost, Insurance & Payment Options

A common question we hear is: “What is the Invisalign cost in New Hyde Park?”

The cost of Invisalign depends on:

  • Case complexity

  • Length of treatment

  • Whether refinements are needed

In many cases, Invisalign cost is comparable to braces cost in New Hyde Park.

We’re proud to be an affordable orthodontist in New Hyde Park, offering:

  • Flexible orthodontist payment plans

  • Invisalign payment plan options

  • Insurance reviews at your visit

If you’re wondering “Does insurance cover braces or Invisalign?”, our team will walk you through your benefits during your consultation.

SCHEDULE A FREE CONSULTATION

★★★★★

"Did Invisalign at Nexus Orthodontics and it was a great experience. They explained the plan and timeline clearly, and each check-in kept me on track. Love the results."

-Jian

★★★★★

"Nexus Orthodontics made Invisalign simple—clear instructions for wear/changes, efficient appointments, and quick help when I had questions. My smile looks amazing."

-Rick

★★★★★

"Really happy with my Invisalign treatment at Nexus Orthodontics. The trays fit well, progress was steady, and any refinements were handled smoothly."

-Helen

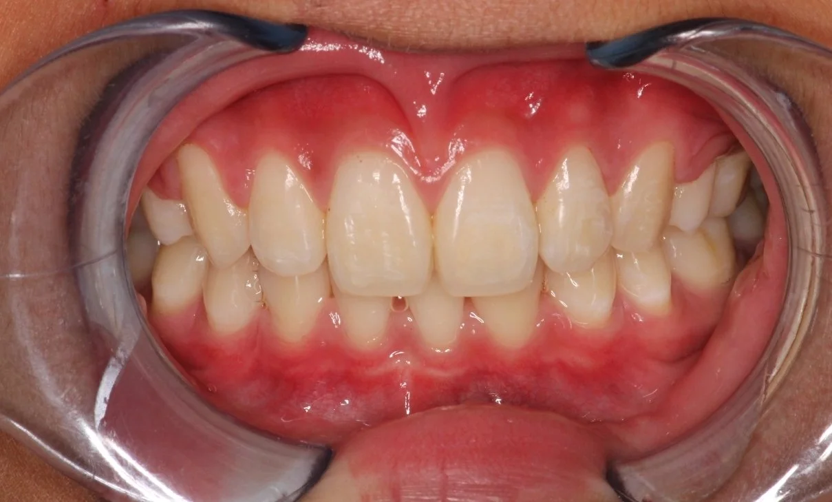
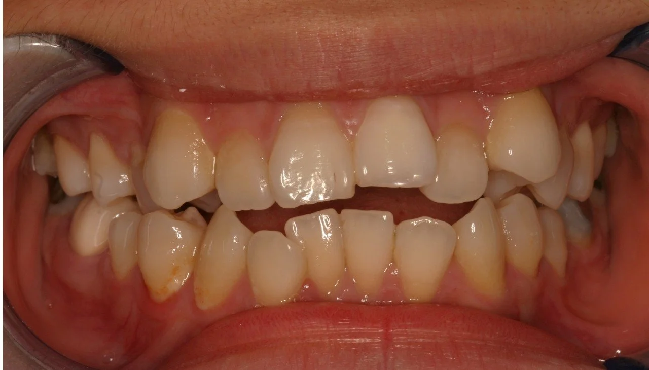
Before

After

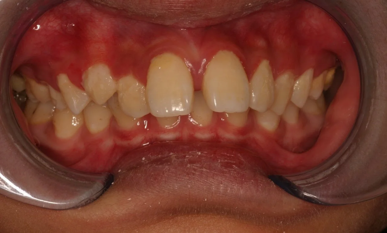
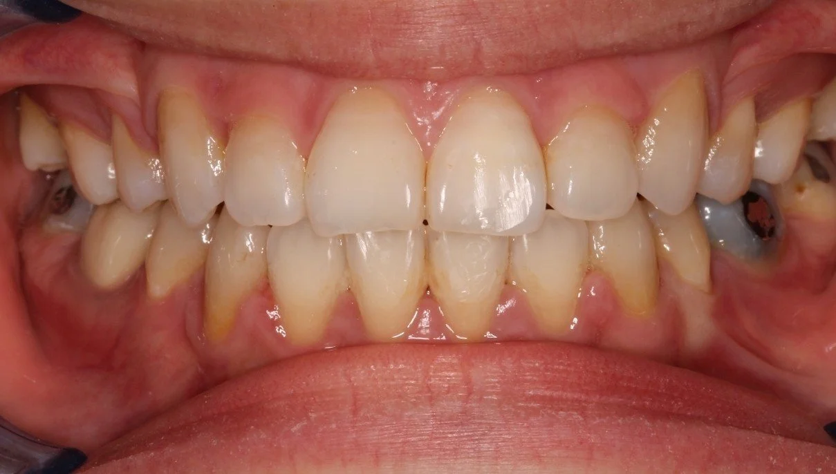
Before

After

Looking for Invisalign Near You?

Many patients find us by searching for “Invisalign near me” or “orthodontist near me.” Our office is conveniently located on Hillside Avenue, making us an easy choice for patients seeking an orthodontist in New Hyde Park.

We regularly see patients from:

  • New Hyde Park

  • Floral Park

  • Mineola

  • Great Neck

  • Manhasset

  • Garden City

  • Syosset

  • Plainview

  • Jericho

  • Roslyn

  • Across Nassau County

If you’re searching for Invisalign in Long Island or Queens, our location makes treatment convenient no matter where you’re coming from.

Frequently Asked Questions

  • Aligners should be worn 20–22 hours per day for best results.

  • Aligners should be removed before eating or drinking anything besides water.

  • Contact us right away—we’ll let you know whether to move forward or replace it.

  • You may feel pressure when switching aligners, but discomfort is typically mild and temporary.

  • While Invisalign typically has fewer emergencies, we’re available as an emergency orthodontist in New Hyde Park if you need help.

Ready to find out if Invisalign is right for you or your child?

Schedule a braces consultation at Nexus Orthodontics today and receive a personalized treatment plan designed for your smile.

SCHEDULE A FREE CONSULTATION