绽放自信笑容 · 从齿开始

新海德公园 (New Hyde Park) 最佳正畸中心。

我們精通國、粵語及英語,更能為你解答治療的程序。

接受各種私人牙醫保險,
為你提供有彈性免利息付費計劃

开始全面正畸治疗即可享受 $888 优惠

Dr Shauna Fung

歡迎

歡迎你選擇馮醫生提供給你,你的家庭成員,和朋友牙齒矯正服務。

馮醫生在業內聲譽甚高, 良好的口碑被患者和業界人士廣為流傳。

在紐約大學獲得牙醫博士學位,然後繼續在愛因斯坦醫學院的蒙德菲爾醫院研讀獲得齒列矯正專科文憑。

拥有20 年执业经验的冯医生,目前在两个地点执业,布鲁克林以及现在的长岛。

矯正專家建議: 7歲以上的孩童應該接受矯正的專業評估,無需家庭牙醫的轉介。牙齒矯正不是只為兒童而設。有健康牙齒的人,在任何年齡中都可以矯正,而且能改善你的笑容是永久不覺遲的。

选择我们的理由

Smiling young girl with long, curly hair wearing a white shirt.

独一无二的笑容,专属定制的治疗.

您独特的笑容,治疗方
案也应为您量身定制

Modern dental clinic interior with dental chairs and equipment, wall-mounted monitors, and wooden paneling.

先进的科技体验

告别传统模具,使
用高科技扫描和
3D成像技术,过程更顺畅

A dental professional showing a child a dental model, both smiling, in a dental office setting.

即刻拥有完美微笑,轻松分期无压力

灵活付款计划,让
您轻松拥有理想
笑容

Modern orthodontics office reception with a wooden counter, "Nexus Orthodontics" sign, blue chairs, and framed wall photos.

从咨询到复诊,过程轻松顺畅

轻松就诊体验,从出
诊到复诊无压力.

矯正流程

A step-by-step diagram of an orthodontic process showing a child sitting in a dental chair, a 3D model of teeth, a dentist explaining an X-ray, and a smiling boy with braces, with text in English and Chinese indicating each step.

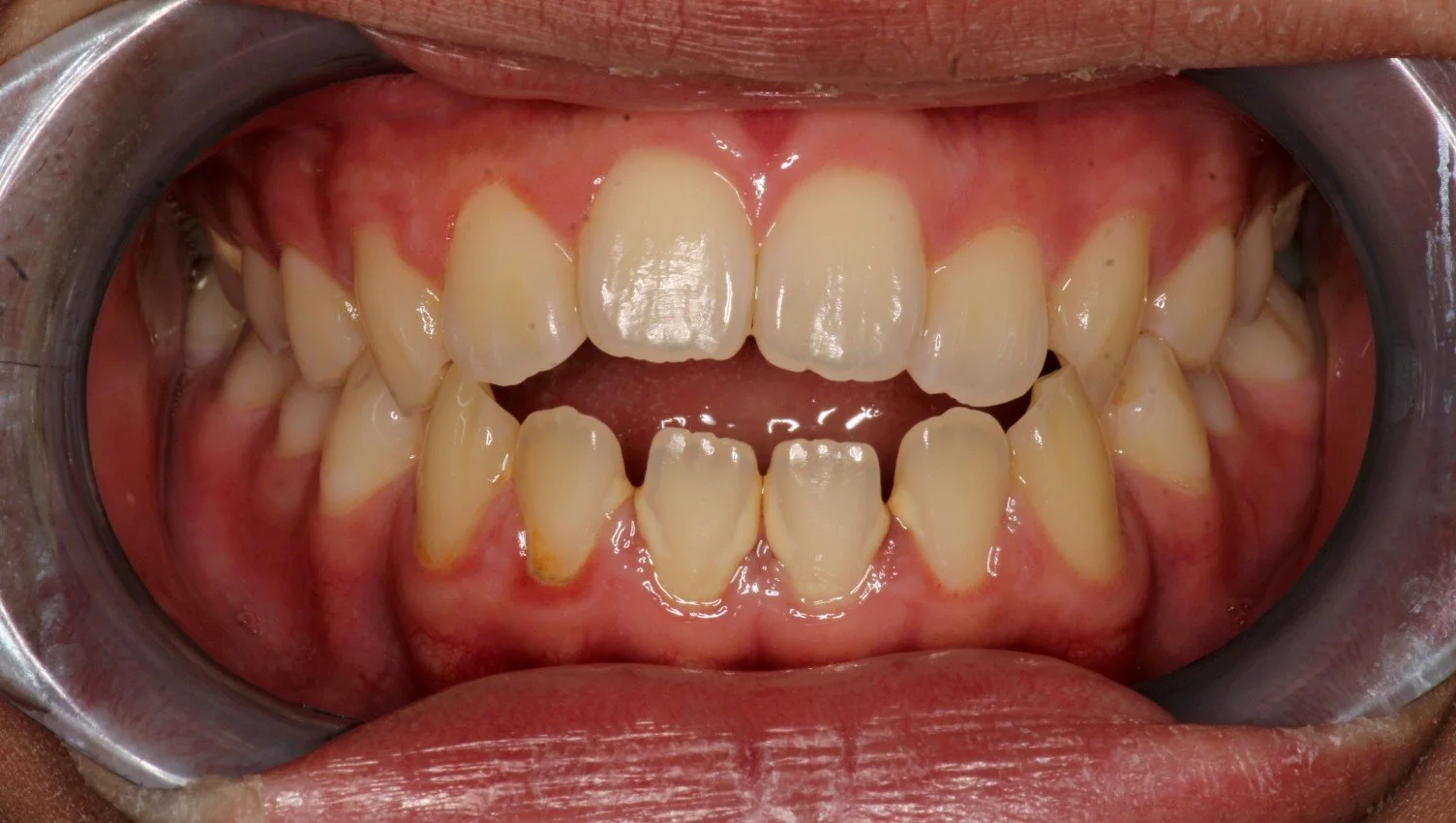
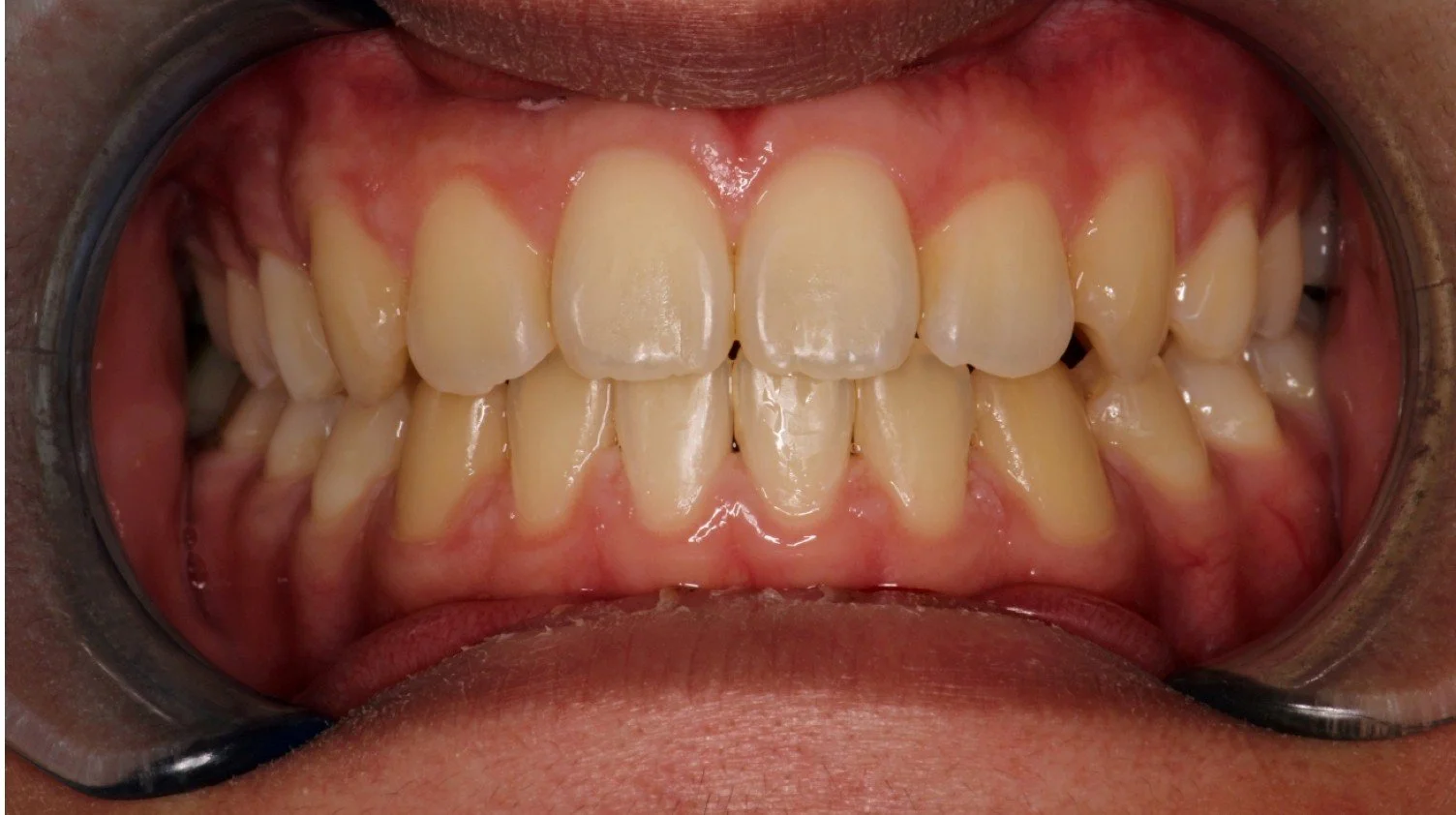
治疗前

治疗后

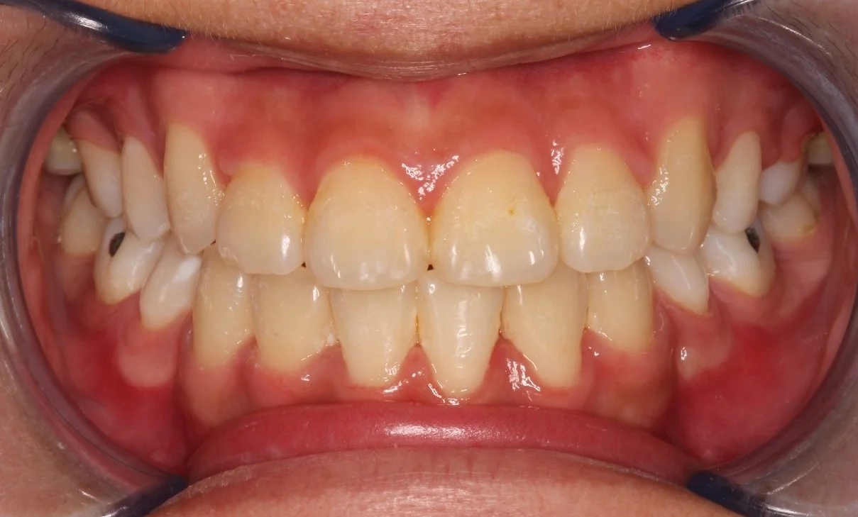
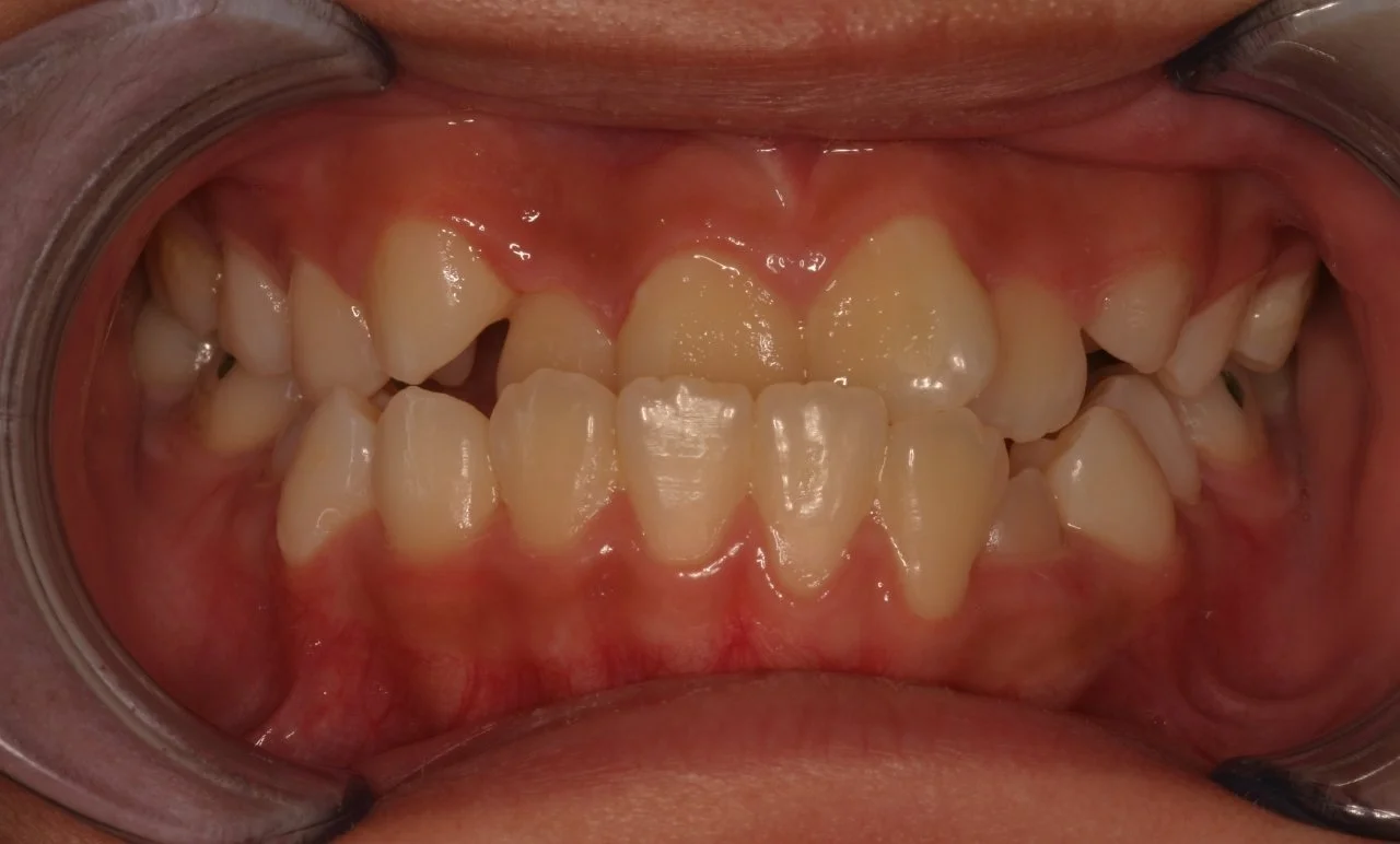
治疗前

治疗后

★★★★★

方医生和整个团队都特别亲切、有耐心,也非常专业。能让方医生为我儿子做正畸,真的让人很放心、也很开心。等过几年,我女儿也一定会来找方医生治疗。非常感谢你们

-Jalen

★★★★★

方医生和她的团队真的太棒了!每个人都特别热情、也非常友好。我戴牙套已经有一年半左右了,对方医生那种追求完美的态度真的非常满意。

-Samantha

★★★★★

我非常推荐方医生和她的团队,她和她的团队真的会把你当成家人一样照顾。

-Steven

Nexus Orthodontics

門診地址

电话: 516-417-8890

3338 Hillside Ave, New Hyde Park, NY 11040

位于溜冰场 (Iceland Long Island Skating Rink) 对面, 愿茶 (Moge Tee) 隔壁

Logo of the American Association of Orthodontists, featuring the abbreviation AAO and the organization's name.
Logo of the American Board of Orthodontics with the abbreviation 'ABO' and the full name written beside it.
Empty white space with a small black mark at the bottom.